Menor gravedad en infartos nocturnos según el ritmo circadiano


<p>(Rogamos anulen esta noticia enviada por nuestro servicio de hoy ya que está embargada hasta el viernes 12 a las 17.00 horas)</p>
<p>    MADRID, 10 (EUROPA PRESS)</p>
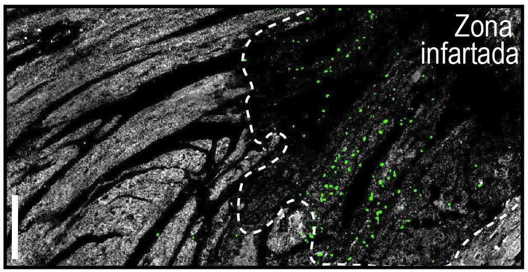
<p>   Un equipo de científicos del Centro Nacional de Investigaciones Cardiovasculares (CNIC) ha logrado explicar porqué los infartos que se producen en la noche son menos severos que los diurnos, y tiene que ver con la variación a lo largo del día de la agresividad de los neutrófilos, un tipo de glóbulo blanco.</p>
<p>   El trabajo, publicado en la revista 'Journal of Experimental Medicine', muestra la existencia de un mecanismo circadiano dentro de los neutrófilos que hace fluctuar su actividad destructiva, y determina el grado de daño que provocan en el corazón tras un infarto.</p>
<p>   Debido a que los seres humanos son una especie diurna, existe una mayor probabilidad de exponerse a infecciones durante esta etapa del día, motivo por el que el sistema inmunológico ajusta sus picos de actividad al ritmo circadiano, aunque esta respuesta puede en ocasiones volverse perjudicial en casos de estrés como los infartos de miocardio, en los que el sistema inmunitario puede causar daños colaterales severos en los tejidos.</p>
<p>   "Por la noche, los neutrófilos se dirigen a la zona dañada respetando el tejido sano, que así no se ve afectado. Es durante el día cuando pierden esta direccionalidad y generan más daño en el tejido circundante", ha explicado la primera autora del estudio, la doctora Alejandra Aroca-Crevillén.</p>
<p>   Durante la investigación también se ha desarrollado una estrategia farmacológica en modelos experimentales para bloquear este reloj molecular, lo que permite mantenerlas en un "estado nocturno" y reducir su potencial dañino durante el infarto.</p>
<p>   "Nos sorprendió comprobar (...) que el bloqueo del reloj circadiano de los neutrófilos no solo protege el corazón, sino que también mejora la respuesta frente a algunos microbios e incluso reduce las embolias asociadas a la anemia falciforme", ha añadido la primera autora de la investigación.</p>
<p>   Por su parte, el jefe del grupo investigador, el doctor Andrés Hidalgo, ha detallado que "el compuesto imita un factor que el cuerpo produce principalmente durante la noche", y que este factor "engaña" a los neutrófilos para hacerles creer que "es de noche", lo que disminuye su actividad tóxica.</p>
<p>   Su desarrollo se ha llevado a cabo en colaboración con el líder del grupo de Investigación Cardiovascular Traslacional Multidisciplinaria en el (CNIC), el doctor Héctor Bueno, tras analizar los datos de miles de pacientes del Hospital 12 de Octubre.</p>
<p>   Este trabajo constituye una de las primeras estrategias en aprovechar los ritmos circadianos del sistema inmunitario para modular la inflamación, y sin comprometer la defensa frente a infecciones, lo que "abre la puerta" a nuevas terapias basadas en la biología del tiempo, que tienen el potencial de proteger el corazón y otros órganos del daño inflamatorio sin debilitar las defensas naturales del organismo.</p>
<p>   Además, ha sido financiado por la Fundación La Caixa; los Institutos Nacional de Salud de Estados Unidos; el Ministerio de Ciencia, Innovación y Universidades (MICIU); el Consejo de Becas de China; la ANR PRC; la Fundación para la Investigación Médica de Francia (FRM); la red transatlántica de excelencia Leducq sobre efectos circadianos en ictus; la Sociedad Española de Cardiología; y ha recibido el apoyo de AstraZeneca, Boehringer Ingelheim y Janssen.</p>
(Rogamos anulen esta noticia enviada por nuestro servicio de hoy ya que está embargada hasta el viernes 12 a las 17.00 horas) MADRID, 10 (EUROPA PRESS) Un equipo de científicos del Centro Nacional de Investigaciones Cardiovasculares (CNIC) ha logrado explicar porqué los infartos que se producen en la noche son menos severos que los diurnos, y tiene que ver con la variación a lo largo del día de la agresividad de los neutrófilos, un tipo de glóbulo blanco. El trabajo, publicado en la revista 'Journal of Experimental Medicine', muestra la existencia de un mecanismo circadiano dentro de los neutrófilos que hace fluctuar su actividad destructiva, y determina el grado de daño que provocan en el corazón tras un infarto. Debido a que los seres humanos son una especie diurna, existe una mayor probabilidad de exponerse a infecciones durante esta etapa del día, motivo por el que el sistema inmunológico ajusta sus picos de actividad al ritmo circadiano, aunque esta respuesta puede en ocasiones volverse perjudicial en casos de estrés como los infartos de miocardio, en los que el sistema inmunitario puede causar daños colaterales severos en los tejidos. "Por la noche, los neutrófilos se dirigen a la zona dañada respetando el tejido sano, que así no se ve afectado. Es durante el día cuando pierden esta direccionalidad y generan más daño en el tejido circundante", ha explicado la primera autora del estudio, la doctora Alejandra Aroca-Crevillén. Durante la investigación también se ha desarrollado una estrategia farmacológica en modelos experimentales para bloquear este reloj molecular, lo que permite mantenerlas en un "estado nocturno" y reducir su potencial dañino durante el infarto. "Nos sorprendió comprobar (...) que el bloqueo del reloj circadiano de los neutrófilos no solo protege el corazón, sino que también mejora la respuesta frente a algunos microbios e incluso reduce las embolias asociadas a la anemia falciforme", ha añadido la primera autora de la investigación. Por su parte, el jefe del grupo investigador, el doctor Andrés Hidalgo, ha detallado que "el compuesto imita un factor que el cuerpo produce principalmente durante la noche", y que este factor "engaña" a los neutrófilos para hacerles creer que "es de noche", lo que disminuye su actividad tóxica. Su desarrollo se ha llevado a cabo en colaboración con el líder del grupo de Investigación Cardiovascular Traslacional Multidisciplinaria en el (CNIC), el doctor Héctor Bueno, tras analizar los datos de miles de pacientes del Hospital 12 de Octubre. Este trabajo constituye una de las primeras estrategias en aprovechar los ritmos circadianos del sistema inmunitario para modular la inflamación, y sin comprometer la defensa frente a infecciones, lo que "abre la puerta" a nuevas terapias basadas en la biología del tiempo, que tienen el potencial de proteger el corazón y otros órganos del daño inflamatorio sin debilitar las defensas naturales del organismo. Además, ha sido financiado por la Fundación La Caixa; los Institutos Nacional de Salud de Estados Unidos; el Ministerio de Ciencia, Innovación y Universidades (MICIU); el Consejo de Becas de China; la ANR PRC; la Fundación para la Investigación Médica de Francia (FRM); la red transatlántica de excelencia Leducq sobre efectos circadianos en ictus; la Sociedad Española de Cardiología; y ha recibido el apoyo de AstraZeneca, Boehringer Ingelheim y Janssen.

Un avance científico fascinante se ha producido en el Centro Nacional de Investigaciones Cardiovasculares (CNIC). Investigadores han descubierto por qué los infartos que ocurren durante la noche son menos severos que los que ocurren durante el día. La razón involucra la variabilidad diaria de la agresividad de los neutrófilos, un tipo de glóbulo blanco.

El estudio, que ha sido publicado en 'Journal of Experimental Medicine', ha establecido un mecanismo intrínseco día-noche dentro de los neutrófilos que alterna su potencial destructor. Este mecanismo regula cuánto daño pueden causar en el corazón después de un infarto.

Definimos a los humanos como una especie diurna. El tiempo en que estamos más expuestos a infecciones es durante el período diurno. Para manejar esta amenaza, nuestro sistema inmunitario alinea su máximo rendimiento con nuestros ritmos circadianos. Sin embargo, en situaciones de alta tensión, como infartos de miocardio, esta respuesta del sistema inmunológico puede ser contraproducente causando daño adicional severo en los tejidos.

Descubrimiento Importante

Según Alejandra Aroca-Crevillén, la primera autora del estudio, "por la noche, los neutrófilos se enfocan en el territorio dañado dejando intacto el tejido sano. Sin embargo, durante el día, pierden esta precisión, causando más perjuicio en los tejidos circundantes". Este hecho descubierto es un hito de suerte para los pacientes que sufren infartos durante la noche.

Nuevas Estrategias

Durante las pruebas de investigación, se ha estimulado una estrategia farmacológica en modelos de laboratorio para detener este reloj interno. La idea es mantener a los neutrófilos en su "modo nocturno" y reducir su capacidad de daño durante la fase de infarto. Aroca-Crevillén se mostró sorprendida al comprobar "que el bloqueo del reloj circadiano de los neutrófilos no sólo protege el corazón, sino que también mejora la respuesta a ciertos microbios e incluso disminuye las embolias relacionadas con la anemia falciforme".

Andrés Hidalgo, el líder de este equipo de investigadores, proporcionó más detalles indicando "El compuesto que desarrollamos imita a un factor que el cuerpo produce principalmente durante la noche". Este factor "engaña" a los neutrófilos haciéndoles creer que es de noche, reduciendo así su capacidad perjudicial.

Aplicación Futura

Este descubrimiento en colaboración con el grupo de Investigación Cardiovascular Traslacional Multidisciplinaria del CNIC bajo la guía del doctor Héctor Bueno se realizó después de analizar datos de miles de pacientes del Hospital 12 de Octubre. Se espera que estos descubrimientos produzcan estrategias futuras para explotar los ritmos circadianos del sistema inmunitario para controlar la inflamación sin comprometer la defensa contra las infecciones.

  1. Descubrimiento Importante
  2. Nuevas Estrategias
  3. Aplicación Futura

Este descubrimiento "abre la puerta" a terapias innovadoras fundamentadas en la biología del tiempo. Estas terapias podrían tener el potencial de proteger el corazón y otros órganos del daño inflamatorio sin debilitar las defensas naturales del organismo. La investigación fue financiada por una gama de organizaciones que incluyen entre otras a la Fundación La Caixa; el Ministerio de Ciencia, Innovación y Universidades (MICIU); y la Sociedad Española de Cardiología. También contó con el apoyo de las compañías farmacéuticas AstraZeneca, Boehringer Ingelheim y Janssen.