Menor severidad en infartos nocturnos por ritmo circadiano de neutrófilos


<p>    MADRID, 12 (EUROPA PRESS)</p>
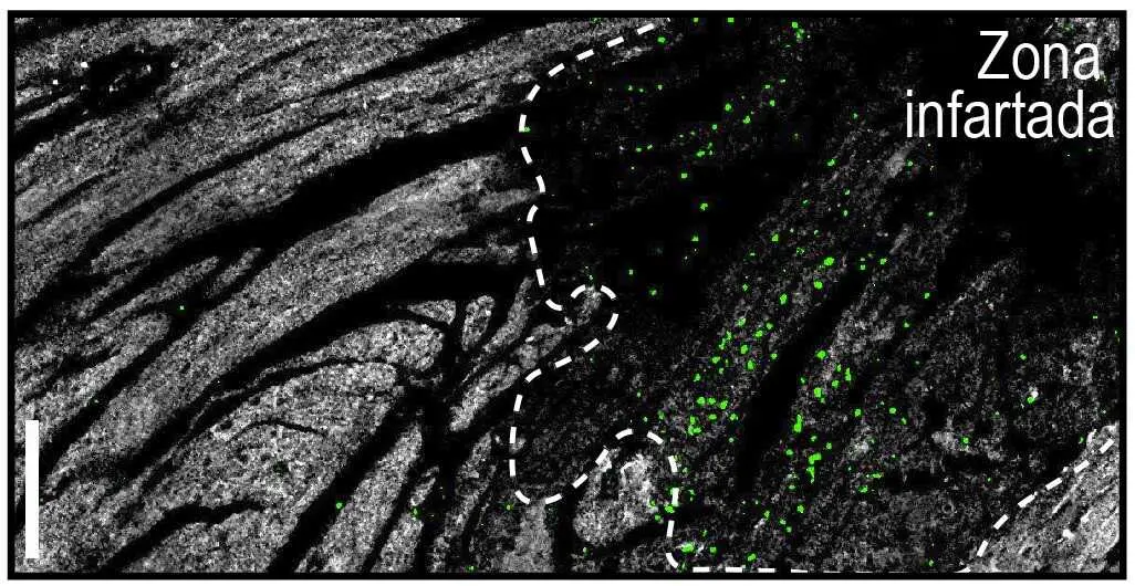
<p>   Un equipo de científicos del Centro Nacional de Investigaciones Cardiovasculares (CNIC) ha logrado explicar porqué los infartos que se producen en la noche son menos severos que los diurnos, y tiene que ver con la variación a lo largo del día de la agresividad de los neutrófilos, un tipo de glóbulo blanco.</p>
<p>   El trabajo, publicado en la revista 'Journal of Experimental Medicine', muestra la existencia de un mecanismo circadiano dentro de los neutrófilos que hace fluctuar su actividad destructiva, y determina el grado de daño que provocan en el corazón tras un infarto.</p>
<p>   Debido a que los seres humanos son una especie diurna, existe una mayor probabilidad de exponerse a infecciones durante esta etapa del día, motivo por el que el sistema inmunológico ajusta sus picos de actividad al ritmo circadiano, aunque esta respuesta puede en ocasiones volverse perjudicial en casos de estrés como los infartos de miocardio, en los que el sistema inmunitario puede causar daños colaterales severos en los tejidos.</p>
<p>   "Por la noche, los neutrófilos se dirigen a la zona dañada respetando el tejido sano, que así no se ve afectado. Es durante el día cuando pierden esta direccionalidad y generan más daño en el tejido circundante", ha explicado la primera autora del estudio, la doctora Alejandra Aroca-Crevillén.</p>
<p>   Durante la investigación también se ha desarrollado una estrategia farmacológica en modelos experimentales para bloquear este reloj molecular, lo que permite mantenerlas en un "estado nocturno" y reducir su potencial dañino durante el infarto.</p>
<p>   "Nos sorprendió comprobar (...) que el bloqueo del reloj circadiano de los neutrófilos no solo protege el corazón, sino que también mejora la respuesta frente a algunos microbios e incluso reduce las embolias asociadas a la anemia falciforme", ha añadido la primera autora de la investigación.</p>
<p>   Por su parte, el jefe del grupo investigador, el doctor Andrés Hidalgo, ha detallado que "el compuesto imita un factor que el cuerpo produce principalmente durante la noche", y que este factor "engaña" a los neutrófilos para hacerles creer que "es de noche", lo que disminuye su actividad tóxica.</p>
<p>   Su desarrollo se ha llevado a cabo en colaboración con el líder del grupo de Investigación Cardiovascular Traslacional Multidisciplinaria en el (CNIC), el doctor Héctor Bueno, tras analizar los datos de miles de pacientes del Hospital 12 de Octubre.</p>
<p>   Este trabajo constituye una de las primeras estrategias en aprovechar los ritmos circadianos del sistema inmunitario para modular la inflamación, y sin comprometer la defensa frente a infecciones, lo que "abre la puerta" a nuevas terapias basadas en la biología del tiempo, que tienen el potencial de proteger el corazón y otros órganos del daño inflamatorio sin debilitar las defensas naturales del organismo.</p>
<p>   Además, ha sido financiado por la Fundación La Caixa; los Institutos Nacional de Salud de Estados Unidos; el Ministerio de Ciencia, Innovación y Universidades (MICIU); el Consejo de Becas de China; la ANR PRC; la Fundación para la Investigación Médica de Francia (FRM); la red transatlántica de excelencia Leducq sobre efectos circadianos en ictus; la Sociedad Española de Cardiología; y ha recibido el apoyo de AstraZeneca, Boehringer Ingelheim y Janssen.</p>

En un estudio innovador, científicos del Centro Nacional de Investigaciones Cardiovasculares (CNIC) han descubierto por qué los infartos que ocurren durante la noche causan menos daño que los que surgen durante el día. La explicación, según publican en la revista 'Journal of Experimental Medicine', radica en la fluctuación diaria en la agresividad de los neutrófilos, un tipo de glóbulo blanco.

La investigación revela un mecanismo circadiano, un ciclo que corresponde aproximadamente a un día, dentro de los neutrófilos que hace variar su capacidad destructiva. Este mecanismo interno regula el nivel de daño que estos glóbulos blancos pueden causar en el corazón tras un infarto.

Normalmente, el sistema inmunológico humano ajusta sus picos de actividad al ritmo circadiano para estar más activo durante el día, cuando es más probable que nos expongamos a infecciones. Pero en circunstancias de estrés, como durante un ataque cardíaco, esta variación puede ser perjudicial. La actividad inmunitaria puede causar daños colaterales significativos en los tejidos del corazón.

La doctora Alejandra Aroca-Crevillén, primera autora del estudio, describe el proceso. "Durante la noche, los neutrófilos se dirigen a la zona dañada, respetando el tejido sano y limitando el daño. Sin embargo, durante el día pierden esta precisión direccional y generan más daño en el tejido circundante", señala.

Este descubrimiento ha permitido a los investigadores desarrollar una nueva estrategia farmacológica en modelos experimentales. Han logrado bloquear el reloj molecular interno de los neutrófilos, manteniéndolos en un "estado nocturno" para limitar su potencial dañino durante un infarto.

Decididos a descubrir más, los científicos se sorprendieron al notar que el bloqueo del reloj circadiano de los neutrófilos no solo mitigaba el daño al corazón. "También mejora la respuesta frente a algunos microbios y reduce las embolias asociadas a la anemia falciforme", explica Aroca-Crevillén.

El doctor Andrés Hidalgo, jefe del equipo investigador, detalla que el compuesto desarrollado "imita un factor que el cuerpo produce principalmente durante la noche". Este factor "engaña" a los neutrófilos para que actúen como si fuera de noche, lo que disminuye su actividad tóxica.

El CNIC realizó este trabajo en colaboración con el líder del grupo de Investigación Cardiovascular Traslacional Multidisciplinaria en el mismo centro, el doctor Héctor Bueno. El equipo analizó datos de miles de pacientes del Hospital 12 de Octubre para llegar a sus hallazgos.

Este estudio representa uno de los primeros intentos exitosos de utilizar los ritmos circadianos del sistema inmunitario para controlar la inflamación, sin sacrificar la capacidad del cuerpo para defenderse contra contagios. Se espera que estos hallazgos allanen el camino para nuevas terapias basadas en la biología del tiempo. Este tipo de enfoque podría proteger el corazón y otros órganos del daño inflamatorio sin debilitar las defensas naturales del organismo.

La Fundación La Caixa, varios Institutos Nacional de Salud de Estados Unidos, el Ministerio de Ciencia, Innovación y Universidades (MICIU), el Consejo de Becas de China, la ANR PRC, la Fundación para la Investigación Médica de Francia (FRM), y varias entidades más financiaron este innovador estudio. Grandes empresas farmacéuticas como AstraZeneca, Boehringer Ingelheim y Janssen también aportaron su apoyo.