Médicos holandeses muestran los pulmones de un paciente Covid que rechazó vacunarse

 Captura
Captura

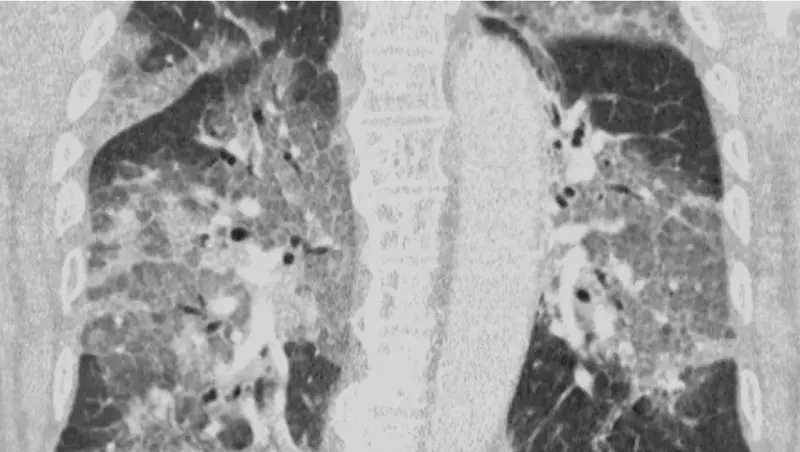
Ya se empiezan a notar las primeras consecuencias del miedo a los efectos secundarios de la vacuna de AstraZeneca contra la COVID-19, que está provocando el rechazo de algunas personas a recibir una dosis de la vacuna. Médicos holandeses han compartido las imágenes de las radiografías de los pulmones de un paciente, ingresado ahora en la UCI, que se negó a inyectarse la dosis por miedo. Los doctores intentan concienciar a las personas sobre lo que provoca el coronavirus y animar a la vacunación.

Los médicos también han publicado una carta abierta dirigida al ministro de Sanidad del país, Hugo de Jonge, sobre la paralización del uso de vacunas contra el coronavirus. En la carta relatan el ingreso en la UCI de un paciente no vacunado y cómo lucha contra le enfermedad con respiración asistida. "Oímos el tremendo pesar en su voz y la desesperación en sus ojos. El virus lo ha atacado y podría haberse evitado. Con su permiso, compartimos su escáner de pulmón. No es necesario ser un especialista en pulmones para reconocer la devastación, ni epidemiólogo para explicar los riesgos de no estar vacunado", cuentan.

Mediante las imágenes y las palabras publicadas pretenden mostrar a la población lo que la vacunación puede evitar. Además, han recalcado que “el riesgo de daño grave causado por el covid-19 es diez veces mayor para las personas de 40 años y 70 veces mayor para las de 60 años, que el riesgo de daño grave por trombosis".

En Holanda de momento solo aplican la vacuna de AstraZeneca en personas mayores de 60 años, mientras las 80.000 dosis de la vacuna de Janssen permanecen guardadas a la espera de que la EMA se pronuncie. Han pedido al ministro "dejar de retrasar la vacunación y de provocar inquietud" e insisten en que los estudios avalan la eficacia de las vacunas. También advierten de que podrían hacer uso de las dosis que guardan en sus instalaciones sin permiso.

Concienciación en España

En España, tras los cambios de criterio sobre la vacunación y las alertas sobre trombos, algunas personas también rechazan recibir la vacuna. Esto ha motivado al Ministerio de Sanidad ha lanzar una campaña para animar a la vacunación y los especialistas insisten en que el riesgo de desarrollar tromboembolismos o cualquier otro efecto adverso es mínimo.