Describen las propuestas para avanzar en la investigación sobre la toxicidad hepática por fármacos L.J.F. 17/01/24
La dieta mediterránea enriquecida con aceite de oliva podría mejorar los síntomas depresivos L.J.F. 17/01/24
Un estudio asocia la vacunación contra el rotavirus con una disminución de la celiaquía L.J.F. 16/01/24
Un tercio de medicamentos aprobados en Europa en 2023 se destinaron a la lucha contra el cáncer L.J.F. 16/01/24
Demuestran que las células humanas 'vibran', útil para detectar enfermedades L.J.F. 16/01/24 Tiempo de lectura: 2 min.
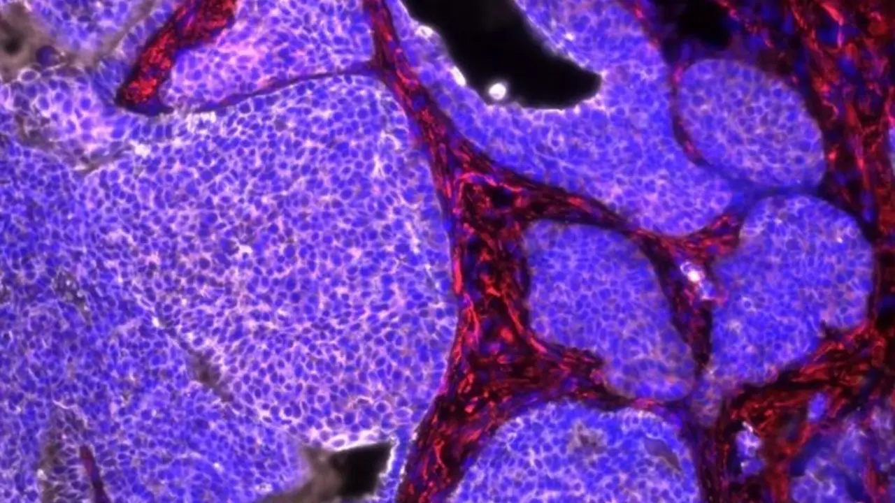
Generan un modelo de ratón que permitirá estudiar la progresión de un tipo de leucemia L.J.F. 12/01/24
Los virus de las bacterias deciden su estrategia de infección a través de una red de comunicación Redacción 12/01/24