Las células CAR-T logran acabar casi de manera completa con el cáncer cerebral

Los ensayos clínicos para un nuevo tratamiento para pacientes con glioblastoma, una forma mortal de cáncer cerebral, han demostrado un rápido éxito, y algunos pacientes experimentaron una disminución dramática en el tamaño del tumor apenas unos días después de su primer ciclo de tratamiento

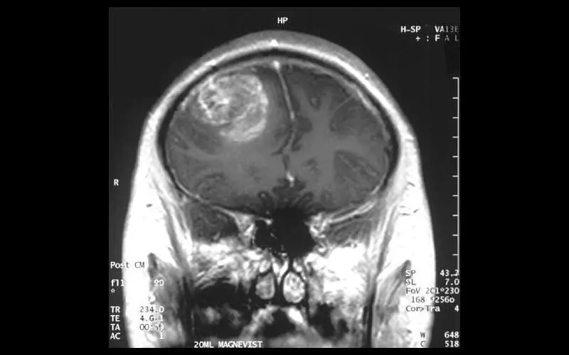
 Cáncer cerebral
Cáncer cerebral

Investigadores del Mass General Cancer Center, Massachusetts, han compartido los resultados de los primeros tres pacientes en un ensayo clínico de terapia con células CAR-T para el glioblastoma.

La terapia con células CAR-T, o CAR-T para abreviar, ganó el Premio Nobel de Medicina y funciona utilizando las propias células inmunitarias del paciente para combatir el cáncer. Actualmente es la forma más personalizada de tratar la enfermedad.

Las células de un paciente se extraen, se modifican para producir proteínas en su superficie y luego se inyectan nuevamente en el cuerpo para atacar directamente el tumor. Las terapias CAR-T han sido aprobadas para el tratamiento de cánceres de la sangre, pero su uso para tumores sólidos es limitado.

El ensayo, conocido como INCIPIENT, fue diseñado para evaluar la seguridad de las células T CARv3-TEAM-E en pacientes con glioblastoma recurrente, que es la forma más común de cáncer cerebral en adultos.

Combinando dos estrategias de tratamiento separadas, CAR-T y anticuerpos biespecíficos, conocidos como moléculas de anticuerpos que atacan a las células T o "TEAM", el enfoque se mostró prometedor en modelos preclínicos de glioblastoma.

Se inscribieron tres pacientes en el estudio, publicado en el New England Journal of Medicine, entre marzo de 2023 y julio de 2023.

Las células T de los pacientes se recolectaron y transformaron en la nueva versión de células CAR-TEAM, que luego se volvieron a infundir en cada paciente. Los pacientes toleraron bien las infusiones, aunque casi todos tuvieron fiebre y alteración del estado mental poco después de la infusión.

Apenas unos días después de un único tratamiento, los pacientes experimentaron reducciones dramáticas en sus tumores, y un paciente logró una regresión tumoral casi completa en cinco días después de un tratamiento.

"La plataforma CAR-T ha revolucionado la forma en que pensamos sobre el tratamiento de los pacientes con cáncer, pero los tumores sólidos como el glioblastoma siguen siendo difíciles de tratar porque no todas las células cancerosas son exactamente iguales y las células dentro del tumor varían", dijo el profesor asistente Bryan Choi de Harvard. Dijo la Facultad de Medicina.

"Esta es una historia de terapia desde el banco hasta la cabecera de la cama, con una novedosa terapia celular diseñada en los laboratorios del Hospital General de Massachusetts y traducida para uso del paciente dentro de cinco años, para satisfacer una necesidad urgente".

Uno de los pacientes, un hombre de 72 años, experimentó una disminución del 60,7 % en su tumor que se mantuvo durante seis meses, mientras que una mujer de 57 años tuvo una regresión casi completa del tumor solo cinco días después de una única infusión.

El equipo dice que sus resultados son interesantes, pero que se necesita mucha más investigación para perfeccionar este tratamiento.

"Hemos realizado una inversión en el desarrollo del equipo para permitir la traducción de nuestras innovaciones en inmunoterapia de nuestro laboratorio a la clínica, para transformar la atención a los pacientes con cáncer", comentó Marcela Maus, directora del Programa de Inmunoterapia Celular del Mass General Cancer. Centro.

"Estos resultados son emocionantes, pero también son sólo el comienzo: nos dicen que estamos en el camino correcto en la búsqueda de una terapia que tiene el potencial de cambiar las perspectivas de esta enfermedad intratable". "Aún no hemos curado a los pacientes, pero ese es nuestro objetivo audaz.