El CSIC permite a personas ciegas experimentar eclipses con sonido basado en luz L.J.F. 30/03/26 Tiempo de lectura: 3 min.
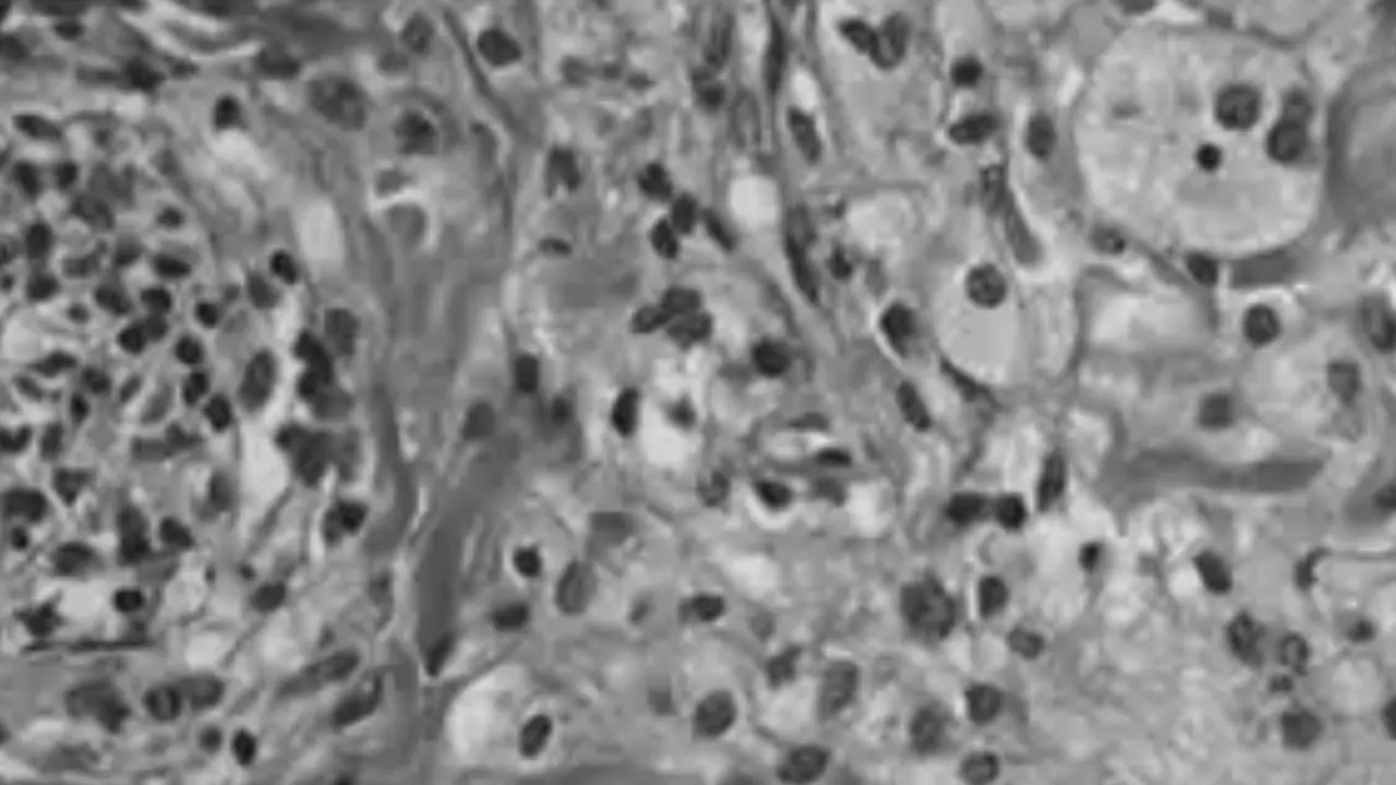
Esperanza frente a la ELA: El fármaco desarrollado por el CSIC recibe luz verde para iniciar sus ensayos clínicos Alvaro Sánchez 19/03/26 Tiempo de lectura: 5 min.
Un equipo investigador del CSIC realiza la primera aproximación global a la diversidad genética del cannabis L.J.F. 03/06/25
El CSIC impulsa un tratamiento contra bacterias multirresistentes utilizando virus que las infectan Redacción 25/06/24
CSIC descubre que la inmunidad atenuante puede ser "un arma valiosa" para la inmunidad de grupo Redacción 01/08/23
CSIC cree que mejorar la calidad del aire en espacios cerrados ayudaría a prevenir epidemias Redacción 20/06/23
Investigadores del CSIC analizan el impacto del cambio climático en el futuro de la dieta mediterránea Redacción 14/06/23